Chronische Cerebro-Spinale Veneuze Insufficiëntie

Forum
Het is nu ma 13 apr 2026, 17:28

Alle tijden zijn GMT + 1 uur [ Zomertijd ]




Plaats een nieuw onderwerp Antwoord op onderwerp  [ 32 berichten ]  Ga naar pagina 1, 2, 3, 4  Volgende
Auteur Bericht
BerichtGeplaatst: ma 07 jun 2010, 18:40 
Offline
Avatar gebruiker

Geregistreerd: do 29 apr 2010, 15:37
Berichten: 108
Morgen ga ik gedotterd worden. Eerst zoals ze het nu voor ogen hebben alleen de linker jugular. Pas over 2 maanden kan de rechter jugular gedaan worden. Vandaag is de uitslag van het onderzoek in het Duits binnengekomen. Dit is voor mij nog te ingewikkeld. Binnenkort krijgen we de nederlandse vertaling.

Op 31 mei deed helaas de CT scan het niet dus ik heb morgen ook nog een CT scan. Hierdoor kunnen ze wat meer vaststellen.

Ik ben erg nieuwsgierig wat voor verschil er gaat komen met nu. Ik heb net een heftige terugval gehad en ben nu weer redelijk op hetzelfde niveau als voor de terugval. Alles wat er nu dus aan verbetering gaat komen komt zeker door de behandeling.

Mijn vriend zal mij vandaag nog filmen met hoe ik nu loop, opstaat etc. Ook bij Privatescan zullen ze dit als ik het allemaal goed heb begrepen filmen. Dit zodat we goed het verschil kunnen gaan zien binnenkort.

Ik zal alles bij gaan houden op dit forum zodat alle anderen ook weer meer informatie hebben.


Omhoog
 Profiel  
 
BerichtGeplaatst: ma 07 jun 2010, 20:47 
Offline

Geregistreerd: di 11 mei 2010, 15:14
Berichten: 94
Woonplaats: de bilt
tjee Angeliek, spannend!!!
ik zal aan je denken en je ladingen good vibes sturen...
succes!!
marlene


Omhoog
 Profiel  
 
BerichtGeplaatst: di 08 jun 2010, 11:05 
Offline

Geregistreerd: di 11 mei 2010, 15:14
Berichten: 94
Woonplaats: de bilt
angeliek , HUP!!

we denken aan je en duimen voor je en wensen je veel succes, sterkte, geluk, gezondheid en goede merkbare resultaten toe!

hou ons op de hoogte...

lieve groet
marlene


Omhoog
 Profiel  
 
BerichtGeplaatst: di 08 jun 2010, 11:10 
Krijgen wij de filmpjes ook te zien? Heel veel succes vandaag in Duitsland met jou bevrijding.

Astrid


Omhoog
  
 
BerichtGeplaatst: wo 09 jun 2010, 22:24 
Offline

Geregistreerd: ma 17 mei 2010, 20:54
Berichten: 2
Hallo allen,

Eerst maar even voorstellen..ik ben de vriend van Angeliek en zal tussentijds even verslag doen van de behandeling die gisteren heeft plaatsgevonden.

Angeliek was na Vera aan de beurt maar zoals al eerder aangegeven door Helmut liep dat wat uit zodat Angeliek in de middag behandeld kon worden.
Eerst s'ochtends naar het gebouw waar de scans worden uitgevoerd om wat testen uit te voeren (de nulmeting). .
Wat houdt deze nulmeting in?..je moet ten eerste een formulier invullen wat je mogelijkheden en onmogelijkheden zijn.
Daarna moet wat lopen wat gefilmd wordt en wat andere bewegingen met de armen enz.
Daarna naar de lopende band met sensoren die de drukverdeling van de voeten en alle andere variabelen registreert en verwerkt in een rapport.
Ook dit is allemaal met camera geregistreerd.
Overigens alle filmmateriaal inclusief de computer registraties worden gewoon opgestuurd.

Hierna naar het hospitaal gegaan waar Angeliek zich heeft ingeschreven waarbij wij zijn opgehaald door de eigenaresse van XCellcenter (Mw. Kleinbloesem).
Nog wel even aangegeven dat bij de scans de week ervoor de CT scanner niet werkte en dat het toch werl mooi zou zijn als het nog alsnog zou gebeuren.
Hierop heeft ze gelijk de andere vestiging gebeld waarop alsnog de CT scan kon worden uitgevoerd...zo gezegd zo gedaan..dus even op en neer voor deze scan waarbij we de CD van de scan gelijk meekregen voor de vaatchirurg (Mr. Beythien).

In eerste instantie gingen wij ervan uit dat de linkerzijde als eerste zou worden behandeld.
nee dus..nadat Angeliek geinstalleerd was in de OKA en Dr. Beythien aan de gang ging met de venografie hoorde ik hem wat mompelen (ik was in de OKA aanwezig) en hij ging nog wat telefonich overleggen en stopte het onderzoek waarbij hij de CD meenam en waarschijnlijk weer verder is gaan overleggen met de radioloog met de gegevens van de CT scans.
Na een 10 minuten weer terug gekomen en heeft hij aangegeven de rechterzijde te doen!

De ingreep duurde al met al toch een kleine 2 uur.
Wat ik kon zien was dat de stenose als je het in % kan uitdrukken op zo'n 40% kleiner dan "normaal" was.
Hierop heeft hij gebalooned (12 atmosfeer) .
Dit heeft hij een aantal malen gedaan waarbij het resultaat op de monitor iets meer verwijding was wat mij verbaasde.
Ik heb hem hierop aangesproken en is mij uitgelegd dat de ader in zo'n goede staat is dat deze zich meer gaat verwijden in de komende weken.
Hij heeft dit getracht nog wat technisch toe te lichten maar het komt erop neer dat de ader door de toegenomen flow en de balooning "getriggerd" wordt om te verwijden.

Na de behandeling is Angeliek teruggebracht naar de recover kamer waar ook Helmut met Vera aan het bijkomen waren en we wat hebben bijgebabbeld.

In de avond zijn we naar een lokaal hotelletje gegaan in de buurt (Hotel Arosa...aanrader).

Goed...we zijn nu 24 uur verder.
Ik heb Angeliek weer gefilmd waarbij zij merkt en ik zie dat ze nu al beter loopt en ook bijvoorbeeld sneller kan omdraaien zonder balans te verliezen.
Tevens traplopen gaat ook beter. En ook haar voeten en handen zijn warmer ze merkt dat ze nu zonder sloffen ook warme voeten heeft.
Nu zijn we natuurlijk voorzichtig om gelijk conclusies te trekken maar het is zeer zeker hoopgevend.

Conclusie tot nu toe: Uitstekende begeleiding door Mw.Kleinbloesem , heel vriendelijke verpleging en een zeer capabele en meelevende dokter Beythien.

Zo..dat even als tussenverslag...wordt vervolgd


Laatst bijgewerkt door Sparklelbert op wo 09 jun 2010, 23:03, in totaal 4 keer bewerkt.

Omhoog
 Profiel  
 
BerichtGeplaatst: wo 09 jun 2010, 22:36 
Offline

Geregistreerd: ma 17 mei 2010, 20:54
Berichten: 2
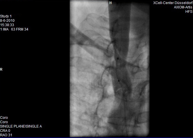
En hier de scans van de behandeling


Bijlagen:
Opmerkingen bij bestand: Dit is voor de behandeling
voor.jpg
voor.jpg [ 47.48 KiB | 19706 keer bekeken ]
Opmerkingen bij bestand: Dit is de balooning
tijdensballoon.jpg
tijdensballoon.jpg [ 50.8 KiB | 19706 keer bekeken ]
Opmerkingen bij bestand: Na de behandeling
na.jpg
na.jpg [ 50.2 KiB | 19706 keer bekeken ]
Omhoog
 Profiel  
 
BerichtGeplaatst: wo 09 jun 2010, 23:25 
Offline
Avatar gebruiker

Geregistreerd: do 29 apr 2010, 15:37
Berichten: 108
De filmpjes volgen nog. Kost even wat meer tijd. Kunnen deze ook op de site of moet dit via you tube ofzo?


Omhoog
 Profiel  
 
BerichtGeplaatst: do 10 jun 2010, 09:50 
Offline
Avatar gebruiker

Geregistreerd: di 01 dec 2009, 12:48
Berichten: 798
Woonplaats: Capelle aan den IJssel
Angel,

Nou, het is gebeurd!

Doe rustig aan en verbeter ze, en...doe rustig aan. Twee keer rustig ja, want rust is erg belangrijk. langzaam opbouwen, niet over de grens gaan. Dat gaat moeilijk worden want je wilt zo graag en het lijkt allemaal te kunnen. Je vriend moet je maar wat afremmen :lol:

Success!

Robert


Omhoog
 Profiel  
 
BerichtGeplaatst: do 10 jun 2010, 10:21 
Angel, en vriend...dank jullie wel. Erg fijn dat je meteen , lichte, verbeteringen merkt. dat geeft de burger moed.
En net wat Robert zegt: hendig an ;)
Dat lijkt mij het moeilijkst, rustig aan blijven doen terwijl je je beter voelt.

Mooie plaatjes ook.

Astrid


Omhoog
  
 
BerichtGeplaatst: do 10 jun 2010, 11:30 
Offline
Avatar gebruiker

Geregistreerd: do 29 apr 2010, 15:37
Berichten: 108
Robbie en Astrid,

Bedankt. Ik zal het zeker rustig aan doen. Ik gun mijn lichaam alle rust om aan de nieuwe situatie te wennen.

Ik ga 1 juli voor 7 weken naar India. Naar een ayurvedisch centrum. Zij zullen me elke dag masseren minimaal 1 uur met 2 personen. Dit heb ik al 2 keer gedaan en dit heeft me heel goed gedaan. Ik merkte dat mijn doorbloeding beter werd en dat zal dit keer zeker gebeuren. Ook krijg ik daar kruiden preparaten welke ook erg goed voor me zijn. Verder mag ik buiten met tussenpossens lezen dan weinig tot niets doen buiten 's ochtends en 's avonds een 20 minuten lopen en tevens een paar oefeningen om mijn enkels en benen aan te sterken.

Dus aan mijn rust kom ik zeker. Ik kan er niet onder uit.


Omhoog
 Profiel  
 
Geef de vorige berichten weer:  Sorteer op  
Plaats een nieuw onderwerp Antwoord op onderwerp  [ 32 berichten ]  Ga naar pagina 1, 2, 3, 4  Volgende

Alle tijden zijn GMT + 1 uur [ Zomertijd ]


Wie is er online

Gebruikers op dit forum: Geen geregistreerde gebruikers. en 1 gast


Je mag geen nieuwe onderwerpen in dit forum plaatsen
Je mag niet antwoorden op een onderwerp in dit forum
Je mag je berichten in dit forum niet wijzigen
Je mag je berichten niet uit dit forum verwijderen
Je mag geen bijlagen toevoegen in dit forum

Zoek naar:
Ga naar:  
cron
Powered by phpBB® Forum Software © phpBB Group
phpBB.nl Vertaling